• +(91) 9960150751 | 9892100751
  • dentistdharmadhikari@gmail.com

Dr. Dharmadhikari's

Healthy Smiles Dental Care & Implant Center

welcome to Our Center

Dental Care for the Whole Family

welcome to Our Center

Creating Beautiful Smiles Every Day

Need a dental treatment?

Call on : (+91) 9960150751 | 9892100751

Timing

Morn: 09.30AM to 02:30PM
Eve: 05.30PM to 09:30PM

about us

Dr. Dharmadhikari’s Healthy Smiles Dental Care and Implant Center!

Thank you for choosing us as your trusted partner in dental care. At Healthy Smiles, our dedicated team is committed to provide meticulous dental care, ensuring your comfort and satisfaction at every step. Below is a comprehensive guide to help you get to know us better.

  • expert consultants
  • well-trained staff
  • state-of-the-art Facilities
  • Commitment to Patient Safety & Comfort

Our Specialised

Treatments Offered

Complete Dental Check Up & Consultation

We believe that oral health is a key component of overall well-being ...

Digital X-ray

We prioritize your comfort and safety while providing high-quality dental care ...

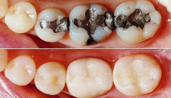
Tooth Coloured Fillings

Say goodbye to the old silver fillings and hello to a natural-looking smile with

Fluoride Application

We believe in the power of preventive dental care to keep your smile healthy...

Teeth Bleaching

A bright, white smile can make a world of difference in how you look and feel...

Teeth Cleaning & Polishing

A clean, healthy smile is the foundation of good oral hygiene. At our clinic...

Crown & Bridges

At our clinic, we offer expert dental solutions for restoring your smile and...

Complete & Partial Dentures

We offer high-quality denture solutions designed to restore your smile and ...

Teeth Extraction

Teeth extractions are sometimes necessary to maintain optimal oral health...

Root Canal Treatments

Root canal treatments are an effective solution to save teeth that are severely...

Pediatric Dental Care

We understand that children's dental care is a critical part of their overall health...

Cosmetic Dental Treatments

Your smile is one of your most powerful assets, and our cosmetic dental...

Mouth Guards, Night Guards

Protecting your teeth and maintaining oral health goes beyond routine dental care...

Teeth Alignment

A straight, well-aligned smile not only looks great but also promotes better oral health...

Wisdom Tooth Extraction

Wisdom teeth, also known as third molars, typically emerge in late adolescence ...

Dental Implants

Dental implants are a popular and effective solution for replacing missing ...

Esthetic Procedures & Smile Designing

Your smile is a reflection of your personality and confidence. At our practice ...

Soft Tissue Laser Treatments

Soft tissue laser treatments represent a cutting-edge approach in ...

Treatment of Extensively Decayed Teeth

Extensively decayed teeth pose significant challenges, but with modern ...

Full Mouth Rehabilitation

Full mouth rehabilitation is a comprehensive approach to restoring the function ...

visit clinic

Comprehensive Dental Care For All

5K

happy patients

15+

Years experience

Why Choose Us

experienced doctor

Over a decade of specialized medical expertise.

personalized care

Tailored treatments to meet your unique needs.

flexible payment options

Affordable plans to suit every budget.

Accurate Diagnosis & Detailed Consultation

Precise assessments & thorough consultations for personalized care.

emergency services

24/7 immediate care when you need it most.

positive patient reviews

Trusted by countless satisfied patients.

Strict Sterilization & Disinfection Protocol

Adherence to top hygiene standards ensuring patient safety.

Detailed & Updated Patient Records

Comprehensive and regularly updated treatment records for effective ongoing care.

We start with a comprehensive dental exam using advanced diagnostics to identify any issues.

We provide a range of services, from routine cleanings to complex restorative procedures, customized to your needs.

We create personalized care plans and offer guidance on maintaining your oral health at home.

testimonials

What Our Patient Say

5/5

This rate is given by user after visiting our clinic

  • for excellence services

"Dr Dharmadhikari, both husband and wife, are very experienced dentists and nice persons. They very well explain the cause and the treatment so that the patient unerstands and can take appropriate precautions/care. From my family, my son, husband and I have taken dental treatments at their clinic and would happily recommend them to others. Thanks Dr."

Aasavari Kudekar

" Hi, I have been visiting this clinic for almost 10 years now, for any of my dental issues. Dr Suyog n Dr Anuradha both are very professional, politen respectful. Help patient to be at ease n comfort.Explain every procedure in detail before starting treatment, ready to answer all your query. Trustworthy, reasonable cost n dental work is effective."

Samreen Muqadam

"Parents always want to give the best care for their children. And when it was about dental pain, honestly got an excellent dental care for my son with proper follow up. You really get the smile back when you know the Doctor is more than just another professional but one who also connects with the patient, gives comfort that it's going to be ok and ensures it is smooth process. I would highly recommend to only get treatment from Dr. Suyog Dharmadhikari, Anuradha Dharmadhikari and team. Thankyou Doctor! "

VG Runtastic

"Dr Anuradha and Suyog Dharmadhikari are highly qualified and renowned dentist in Koparkhairane and Overall Navi Mumbai area. I have visited them multiple time for my personal and other family members' treatment and always had a good experience and perfect results. The clinic is located in Sector 16 near Gurudwara and can be located very easily. So, if you are looking for a good dental treatment with exact diagnosis with caring treatment, I would highly recommend 'Healthy Smiles' clinic. "

Akshay Kulkarni

"Very nice experience visiting and undergoing dental treatment here. Highly experienced and skilled team of dentists couple, with state of the art equipments for various types of dental treatment . I had undergone an advanced treatment of Total Mouth Rehabilitation here with 100% success and now I am perfectly ok. Thanks to the Doctors and his team . "

Sudhir Kalvit

contact now

Get Professional Consultation

Shop No. 4, Ashirwad CHS, Plot No. 99, Opp. Gurudwara, Sector 16, Koparkhairane, Navi Mumbai - 400709

+(91) 9960150751 | 9892100751

dentistdharmadhikari@gmail.com

Morn: 09.30AM to 02:30PM
Eve: 05.30PM to 09:30PM