+(91) 9960150751 | 9892100751
dentistdharmadhikari@gmail.com
Home
About Us
Doctors
Dr. Suyog Sarvottam Dharmadhikari
Dr. Anuradha Suyog Dharmadhikari
Treatments Offered
Complete Dental Check Up & Consultation
Digital X-ray
Tooth Coloured Fillings
Fluoride Application
Teeth Bleaching
Teeth Cleaning & Polishing
Crown & Bridges
Complete & Partial Dentures
Teeth Extraction
Root Canal Treatments
Pediatric Dental Care
Cosmetic Dental Treatments
Mouth Guards, Night Guards
Teeth Alignment
Wisdom Tooth Extraction
Dental Implants
Esthetic Procedures, Smile Designing
Soft Tissue Laser Treatments
Treatment of Extensively Decayed Teeth
Full Mouth Rehabilitation
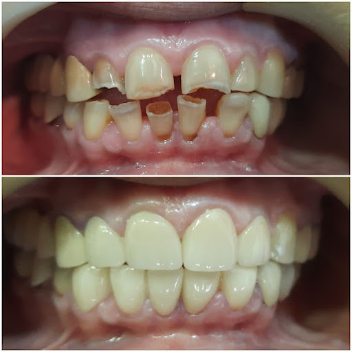
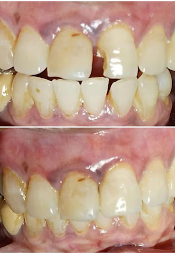
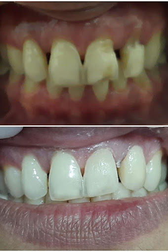
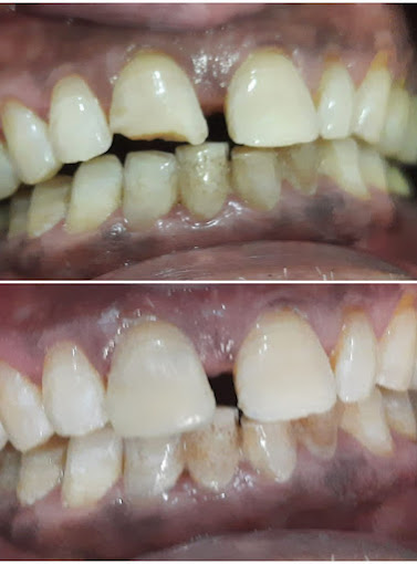
Gallery
testimonials
Contact Us
book appointment
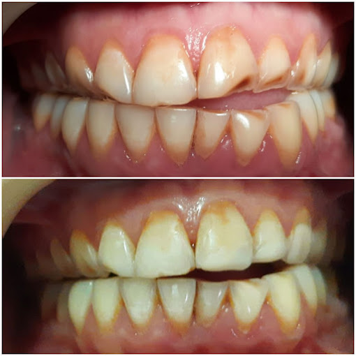
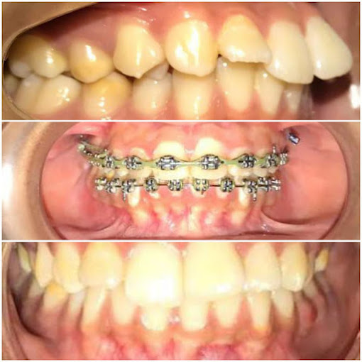
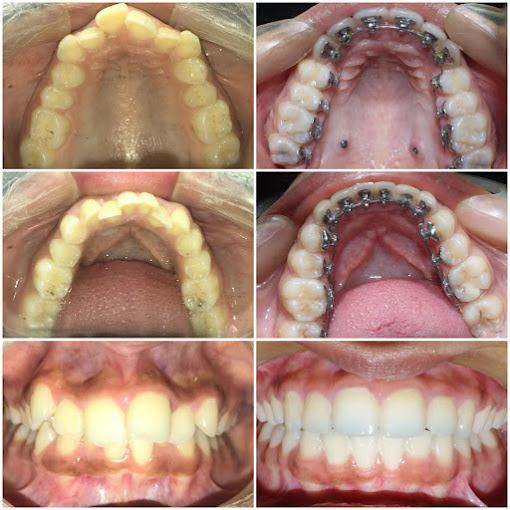
Gallery
home
Testimonials